ASM’s 2025 Class of Fellows
In 1969, ASM established the Fellow of the Society honor to provide recognition to members for their distinguished contributions to materials science and engineering and to develop a broadly based forum of technical and professional leaders to serve as advisors to the society. ASM will recognize the 2025 Class of Fellows at the Annual Awards Banquet held during IMAT’25, on Tuesday, October 21st, in Detroit, MI. Tickets can be purchased with IMAT registration.
The following are the members recognized by their colleagues for 2025. Additional Fellows may be elected to this distinguished body in subsequent years. The solicited guidance, which the Fellows will provide, will enhance the capability of ASM as a technical community of materials science and engineering in the years ahead.
Mr. Burak Akyuz, FASM
Vice President-Testing
Applied Technical Services
Marietta, GA
“For pioneering advancements in failure prevention through strategic implementation of cutting-edge failure analysis and materials testing techniques, significantly enhancing the reliability and safety of materials across diverse industries.”
Dr. Amber N. Black, FASM
Additive Manufacturing Team Leader/R&D Engineer
Los Alamos National Laboratory
Los Alamos, NM
“For outstanding contributions to the field of high-energy density processing of materials and devoted service dedicated to the advancement of ASM International.”
Mr. Gabriel M. Lucas, FASM
Metallography Subject Expert
Scot Forge Company
Spring Grove, IL
“For longstanding history of metallurgical expertise in metallography, quality control, and characterization, especially in advanced metals and forgings, with notable contributions to ASM and IMS.”
Image of the Month
The Micrograph Database is looking for more images to add to this growing library and more volunteers to help select and review submitted images. Would you like to see your images in the database? Or do you love micrographs and want to volunteer some time to help the database grow? Contact [email protected] for more information. LEARN MORE
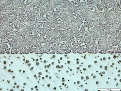
Mint Chocolate Chip
This micrograph, though it resembles a popular flavor of ice cream, is actually an atmosphere brazed tungsten carbide coating on gray cast iron. The image appears in “Additive Brazing for New Part Production, Remanufacturing, and Wear Protection,” which is the lead article and graces the cover of the March 2026 issue of Advanced Materials & Processes magazine. The image and article are courtesy of Euromat GmbH.
See image on AM&P cover
Metallography, Microstructure, and Analysis Call for Micrographs
Metallography, Microstructure, and Analysis (MMA) wants to showcase your micrographs! In each issue, the “Mystery Micro” feature challenges readers to solve a puzzle pertaining to an interesting microstructure. The “MicroArt” feature highlights curious or aesthetically pleasing images of materials from under the microscope. Readers are invited to share any interesting or unusual micrographs with the journal for these features – a great way to share your work with our technical community!
Please fill out this form and send it with your micrographs to MMA Editor-in-Chief Ryan Deacon at [email protected] and ASM Content Developer Emily Glorioso at [email protected] for consideration for these two features.
2025 MMA Editor’s Choice Articles Announced
Metallography, Microstructure, and Analysis Editor-in-Chief Ryan Deacon recently announced this year’s Editor’s Choice articles, showcasing six of the high-quality articles that were published in the journal in 2025. They are free to read and can be shared with your colleagues.
- “Effect of Different Strain-Path Cold Rolling on Mechanical Properties, Microstructures and Texture Evolution in Aluminum–Copper–Lithium (AA 8090) Alloy” by A.P. Murugesan, Ashok Kumar, and Manoj Humane
- “Microstructural Characterization of Stitched Zones in Ti6Al4V Printed via Multi-laser Powder Bed Fusion and Using Three Stress Relief Temperatures” by Rodolfo Villa, Chris Billings, Zahed Siddique, and Yingtao Liu
- “Microstructural Analysis of the Dissimilar Weld AL6XN SASS and 2205 DSS Steels Plates” by José Antonio Rodríguez-Torres, Víctor Hugo López-Morelos, Heriberto Granados-Becerra, and José Reyes-Gasga
- “Image Processing Methodology to Quantify Natural Aging in Low Carbon Steels Exposed to Long-Term Service” by Isaías Chamorro, Diana K. Vite, Manuel A. Beltrán, Diego I. Rivas, Jorge L. González, and Héctor J. Dorantes
- “Microstructural Refinement in a Low Alloy High Strength Martensitic Steel” by Vikas Sinha, Manny Gonzales, and Eric J. Payton
- “From Crucible Steel to the Battlefield: Investigating a Unique Early Medieval Arrowhead from Anatolia” by Ümit Güder, Alptekin Yavaş, Zeliha Demirel Gökalp, Cemal Cem Taşan, and Dierk Raabe
We hope you enjoy reading these articles, and we extend our congratulations to the authors of these high-quality papers!
Remember: IMS members receive free online access to Metallography, Microstructure, and Analysis
Upcoming Courses
For a full list of education courses and online options, click here.














